Sunday, 2 June 2019

Hi mummy, Luis broke his bone.

Hi mummy, Luis broke his bone. 
28 May 2019 Tuesday

On this day after completing a WSH course I received a call from my elder son that his brother broke his bone when he jumped down from the slide. I thought he was exaggerating but it was true, confirmed by my husband who was luckily at home during that time. 

Rushed down to Mount Alvernia Hospital while simultaneously checking the insurance coverage. Side note - the Singapore MRT System is understatedly fast and well connected, I travelled from Joo Koon and reached the hospital within an hour. 


In pain but still have not cried so far. I didn’t know then that his bone was totally broken. Very brave boy. 


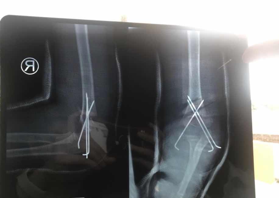
Now you can gasp. Not only is the bone now bones, the lower part is also twisted which could not be seen here. 

The doctors did not suppress their reactions. He needed surgery asap. When the ortho doctor came and said that if he can’t reset it then he has to open him up, my poor boy finally burst out and cried. The doctor was reassuring then that nonetheless it’s a totally fixable situation. 

By then it was almost 10pm and partly because we gave Luis food, the surgery will take place next morning at 7.30am. Luis was in pain, he was given ibuprofen to lessen the pain. Finally fell asleep near 12am. He stayed on his back but with a few subconscious short cries when it was painful. He even opened his eyes once and gave me a smile before falling back to sleep. I’m so proud of my son, in good spirits despite the situation. 

Next morning Lucas called me before 7am from school and asked how is Luis. Sweet Lucas is worried about Luis. I woke Luis up so the brothers could talk on the phone. Shortly after the nurses came to move him. They wanted to move him into another bed but Luis protested loudly and insistently because of the pain. Again I’m happy that he could advocate for himself. I felt guilty that I didn’t stand up for him more, and then told myself that I shall not be a weak mother again. 

Finally we reached the operating theatre. Luis was abit scared, I tried to reassure him. I was fine all along but when he went under the gas mask and gradually slept due to the anaesthesia, my heart broke for him. Almost could not talk when it was time for me to leave. I guess my face said it all as the nurses and doctors kept reassuring me that they will take care of him. 

Surgery was successful, no opening up. 

Just out of surgery, little groggy. The little man had 3 wires inside him now. 
So the doctor now said that he hasn’t seen such a serious case in 3 years and it’s the first time he put 3 wires instead of 2. I’m glad he didn’t say these before the surgery. 

Lucas called again during recess to ask if he can visit Luis immediately after school. He was worried about his brother, just that he couldn’t recognise it. I told him that we will bring him during the afternoon. 

We stayed for two nights and Luis had visits from the family and the school principal. Fortunately for the Cartoon Network and the great food, he enjoyed his stay at the hospital. Even Lucas ate two meals there. Luis also asked a few times why he has so many presents. 






Brothers pretending they are on a spaceship. Watching Teen Titans Go on Cartoon Network.

Finally on the second day Luis was able to get off the drip and go for his X-ray before confirming he could go home. 


Walking to the imaging room for his X-ray. 


Bones in the right place now. Doctor said it could be better. But I’m already impressed that he moved them back in place without opening him up at all. 

Next day Luis prepared breakfast for me. 

With the juice and bread from the hospital. Lol...


Practicing writing with his left hand. 

I am grateful that all turned out well at the end of the day. It was a memorable experience that he now thinks back happily. The experience in the hospital was actually good! Total bill came up to under $15k, thank goodness I bought good insurance for both boys in 2016 following Lucas MRI incident. Luis went through the whole experience with courage and good spirits. For that I’m proud of him. Well done, Luis. 










Friday, 12 April 2019

It goes away but it’s always there

Funny how emotions work. 

I haven’t thought about my Ma for a long time. There I am, sitting on the bench in the gym, drying my feet after shower and staring blankly in front of me. Someone left a water bottle and lotion behind. The lotion tube looks familiar and then I remember. 

One time Ma and I were in a pharmacy. Why and which one I don’t remember. But a salesgirl targeted my Ma and sold her a moisturiser that can reduce black spots or make her skin better. I don’t even remember the details. But I remember that I thought Ma is already so old and why this matters. It’s a side of my Ma that I seldom see. My Ma thinking of herself and not her children. My Ma buying something for herself to make herself happy. 

And I wanted to cry at the memory because I miss her. And so I did. It’s been four years now, and I miss you, Ma. The other day I have forgotten how I used to greet you and I sounded it out but it felt unfamiliar. 

The sadness, the missing.  It goes away but it comes back and catches you off guard. 




Tuesday, 26 March 2019

Apple pie-like bread

Apple pie-like bread (vegan)
26 March 2019

I had difficulties naming this because it's neither apple pie nor bread pudding. I had too much bread left and I wanted to make bread pudding but I don't like the sogginess of it. So I created this. Smells and tastes like apple pie, bread was not soggy. You can tweak the sweetness with the amount of honey and raisins you add. I found mine a tad sweet so I have reduced the honey from 1.5 to 1 tablespoon below. 
Note though that there is nothing holding the shape so it will fall apart after you bake it. If you want it to be presentable, you can consider making it in a cupcake cases so you can eat directly out of it. Overall it's a will-make-it-again kind of recipe for me.


Makes 1 round 8-inch cake pan.

INGREDIENTS

For the base and filling
  • About 6 slices of bread
  • 2 apples (I used 1 apple and 1 pear, that's what I had)
  • 1/3 cup raisins
  • 1 tablespoon of honey
  • 2 teaspoons of cinnamon
  • 1 cup of soya milk
  • 1/2 cup of water/soya milk (for adjustment to be added only at the end when all are mixed together, depending on whether you have enough excess liquid to wet the bottom layer of bread)

For the topping
  • 1 cup of regular rolled oats
  • 3 tablespoons of brown sugar
  • 1/4 cup of olive oil
  • 1/8 teaspoon of salt
METHOD
  1. Cut off the sides of the bread.
  2. Line the bottom of the cake pan, should use about 2-3 slices.
  3. In a big bowl, mix the remainder of the bread and all the ingredients (EXCEPT the water) together.
  4. If it looks too dry, add the amount of water/soya milk needed so that you have about 1/2 cup excess that can be used to soak the bottom layer of bread in the cake pan.
  5. Pour all into the cake pan.
  6. Mix the ingredients for the topping. Put on top.
  7. Bake at 165 deg C for 50 min.




Wednesday, 2 January 2019

New year new resolution

New year new resolution 
2nd Jan 2019

2019.
Be a better wife. 
More quality time with husband and kids. 
Be a better leader. 
Continue a healthy lifestyle. Achieve 52kg and maintain it!